Parmanent Denture

Book a Consultation to Access Our Exclusive Financing Options!

Book Now

There are multiple solutions for replacing missing teeth, including permanent dentures, dental implants, and bridges. To find the best option for your unique needs, it’s essential to consult with your periodontist to weigh the pros and cons of each. Permanent dentures are an excellent choice for patients seeking a fixed, stable, and natural-looking solution. They offer improved comfort and function compared to traditional removable dentures. While the cost may vary depending on the case—[click here for pricing]—permanent dentures are a long-term investment in your smile and quality of life.

Permanent dentures offer a reliable and long-lasting solution for replacing missing teeth. Unlike traditional removable options, they are securely fixed in place, providing the look, feel, and function of natural teeth. We offer advanced options such as same-day placement and implant-supported permanent dentures, designed to deliver both comfort and durability tailored to your lifestyle.

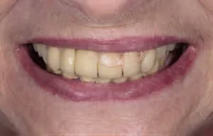
Dental Implant Smile Transformations



The Treatment Process

The treatment for permanent dentures typically begins with a detailed consultation and 3D imaging to plan implant placement. After surgically placing implants, temporary teeth are fitted during healing. Once the jawbone fuses with the implants, a custom permanent denture is securely attached for a natural, long-lasting smile.

Step:1 Initial Consultation

A comprehensive dental exam, 3D imaging, and health review are done to determine your suitability for implant-supported dentures.

Step:2 Treatment Planning

Precise planning using digital scans ensures accurate placement of implants and design of your new permanent denture.

Step:3 Implant Placement Surgery

Four to six implants are surgically placed in the jawbone. Any necessary extractions or bone reshaping is done during this step.

Step:4 Temporary Teeth Placement

Temporary teeth are attached to the implants, allowing you to eat and smile during the healing phase.

Step:5 Healing Period (Osseointegration)

Over 3–6 months, the jawbone fuses with the implants to provide a stable foundation.

Step:6 Final Denture Placement

Once healing is complete, your custom-made permanent denture is securely attached to the implants for a fixed, natural-looking smile.

Who Are Good Candidates for Dental Implants?

If you need full-mouth reconstruction or a complete arch replacement, implant-supported dentures like All-on-4 may be the ideal solution. Schedule a consultation with a dentist experienced in implant-supported procedures to explore your options. If you currently wear removable dentures, you may have experienced some bone loss that requires treatment before the procedure. Your dentist will conduct a comprehensive evaluation of your jawbone health to determine if implant-supported dentures are the right choice for you.

Book Now